石巻市で最新設備を完備する歯医者さん

〒986-0825 宮城県石巻市穀町5-21
石巻駅徒歩3分【駐車場10台完備】

診療時間
9:00~13:00 × ×
14:00~18:00 × ×

休診日:木曜・日曜・祝日

当院の矯正歯科

※保険外診療です

20年以上の経験に基づき「咬み合わせ」まで考慮

歯科医師の20年以上の治療経験を活かし、歯並びを整えるだけでなく、咬み合わせまで考慮した矯正治療を行います。この矯正治療の目的は、歯並びを整えることだけではありません。ガタガタとした歯並びは上手く噛めなかったり、発音に問題を生じさせたり、虫歯や歯周病の原因となることさえあるのです。

当院の場合、まずはポールスプリントと呼ばれる、あごを正しい位置に誘導する装置を使用します。これにより、正しいあごの位置での矯正を始めます。次は歯の裏側に装置を付け、歯を動かすスペースを作る処置です。装置は裏側に装着しますので、通常の会話などではほとんど見た目にわからないようになっています。そしてこれらの段階を経たあと、歯を並べる器具を付けて矯正を行っていく仕組みです。この際に当院が採用する器具(ブラケット)は一般的な金属製のメタルブラケットと透明度の高いクリアブラケットからお選びいただけます。お仕事などで矯正装置が目立つことが気になる、という方でもご安心いただけるのではないでしょうか。

なお、「スプリント」「顎間(がっかん)ゴム(上下の歯を噛ませるためのゴム)」「リテーナー(矯正治療終了後に歯が後戻りしないようにする装置)」これら3つは患者さまご自身でお口の中に入れていただく装置です。何かしらの理由でこれらの装置をお口へ入れられない場合、矯正治療が中止となりますのでご了承ください。

矯正歯科は治療の性質上、数年間をかけての治療になります。当院は患者さまのご意見を十分に伺いつつ、治療を進めてまいります。

お子さまの矯正治療へ力を注いでいます

当院が特に矯正治療をおすすめしたいのは、お子さまです。お子さまのお口を守り育てるためには、小児期から歯並びを整えることがとても有効だからです。

早い時期に咬み合わせや歯並びを改善すると、見た目の問題だけでなく、咬み合わせの乱れや発音障害などを将来に渡って予防することができます。また、虫歯や歯周病の予防にも繋がりますので、お子さまの健康を考える上でもメリットが大きいと言えるのです。

成長期に治療をすると、より負担の少ない矯正治療が可能になります。お子さまの歯並びや咬み合わせでお悩みの方は、ぜひ早期に当院へご相談ください。

できるだけ歯を抜かず、無理のない矯正を行います

矯正歯科の治療の中では、歯を抜いてスペースを確保することがあります。しかし当院では、できる限り抜歯を行わないように心がけています。それは、皆さまが生まれ持った歯がかけがえのないものであり、不必要に抜くべきではないと考えるからです。

当院では正しく診査・診断を行い、あごの位置を正常に戻したあとに歯並びの矯正を行っています。こうすることで、歯を抜くリスクを極力下げることができるのです。歯並びを横に広げたり、お口の奥側へ移動させたりして、歯をキレイに並べるためのスペースを確保すれば、歯を抜かない「非抜歯矯正」を無理なく行える可能性が高まります。

ただし、骨格的な問題やお口の中の状態によっては、やむを得ず歯を抜かなければならないケースもあります。まずは一度ご相談ください。

矯正治療

歯並びと咬み合わせの改善を目的に行う歯科治療。歯に矯正装置をつけて、歯やあごの骨に力をかけながらゆっくり動かしていきます。

治療のリスクや副作用:歯と顎のバランスによってはご自身の歯を抜く場合があります。まれに歯の根が短くなる可能性があります。装置装着後、痛みを感じることがあります(歯が動く正常な反応なので心配ありません)。頬の粘膜・唇・舌などに、口内炎ができることがあります。歯周病等で歯ぐきが下がっている方は、歯を動かすことでさらに歯ぐきが下がる可能性があります。重なっていた歯がきれいに並んだことで歯ぐきと両隣の歯との間に三角形の隙間ができる可能性があります。

治療の価格:メタルブラケット:¥800,000(税別)/クリアブラケット¥900,000(税別)

非抜歯矯正治療

歯を抜かずに行う矯正治療。歯列を横に拡大する、または、奥歯をさらに奥へ移動させて、歯を移動させるスペースを確保します。

治療のリスクや副作用:矯正治療が完了した後は後戻りを防ぐために保定装置を装着します。保定装置を正しく使用しないと再度矯正治療が必要になる可能性があります。まれに歯の根が短くなる可能性があります。装置装着後、痛みを感じることがあります(歯が動く正常な反応なので心配ありません)。頬の粘膜・唇・舌などに、口内炎ができることがあります。歯周病等で歯ぐきが下がっている方は、歯を動かすことでさらに歯ぐきが下がる可能性があります。重なっていた歯がきれいに並んだことで歯ぐきと両隣の歯との間に三角形の隙間ができる可能性があります。ご自身の歯を削る場合があります。(削る量は個人差があります)。

矯正歯科の流れ

ご相談

歯列矯正のご相談・検査(CT・口腔内写真撮影)は無料でおこなっております。

歯並びや咬み合わせについて、気になることを何でもご相談ください。矯正治療について大まかな説明をいたします。

精密検査・治療の説明

レントゲン撮影、歯型の採取、咬み合わせの確認など、診断のための検査を行い、治療の説明をします。

健康を守り育てる矯正治療スタート

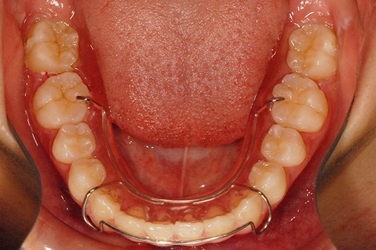
ポールスプリント

装着期間3~8ヶ月。あごを正しい位置へ誘導し、早期接触をみつけます。それにより治療計画が決定します。(抜歯や外科処置等が必要か)同時に筋機能訓練(口輪筋・舌筋力のトレーニング)を行います。

矯正装置をつけると歯磨きがしにくくなるので磨き残しが20%以下になるような磨き方を身につけます。

※患者さま本人がポールスプリントをつけないと早期接触がみつかりません。ポールスプリントをつけない、筋機能訓練を継続しない、磨き残しが多いなどの場合はこの先の治療に進めないため、この段階で治療は中止とさせていただく場合がございます。

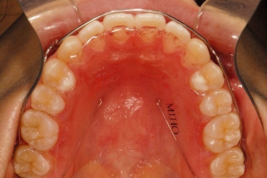
3Dリンガルアーチ

3Dクワド

3Dリンガルアーチ

装着期間は3Dクワドと合わせて1年~1年半。固定式のため、ご自身での取り外しはできません。

あごの位置が決まったところで、はじめに上あごに装着します。今までの既成のかみ合わせをはずし、正しいあごの位置で矯正をはじめます。その後、下あごにも装着します。

3Dクワド

歯列の拡大、倒れている歯を起こすことを目的します。

ブラケット

メタルorクリアのどちらかを選択してもらいます。

装着期間は、非抜歯の場合1年~1年半、抜歯の場合1年半~2年。歯をきれいに並べるためのものです。

メタルブラケット

クリアブラケット

顎間ゴム

装着期間3~6ヶ月。

※患者様本人が装着、交換するものなので、使用しない場合はこの時点で治療終了になる場合がございます。

治療後の観察

リテーナー

装着期間8ヶ月~1年。

矯正後の後戻りを防ぐ装置です。基本的には24時間装着します。食事時、歯みがき時のみはずします。人前で話す時なども一時的にはずしても構いません。

※長時間はずしていると、後戻りしてリテーナーが入らなくなります。ブラケットを装着しての矯正のやり直しは、別途20万円の追加料金がかかります。

パソコン|モバイル
ページトップに戻る