石巻市で最新設備を完備する歯医者さん
| 診療時間 | 月 | 火 | 水 | 木 | 金 | 土 | 日 |
|---|---|---|---|---|---|---|---|
| 9:00~13:00 | ○ | ○ | ○ | × | ○ | ○ | × |
| 14:00~18:00 | ○ | ○ | ○ | × | ○ | ○ | × |
休診日:木曜・日曜・祝日
治療に先立ち最も重要なことはゴールの設定。
何を望み?何を諦めるのか
科学的な根拠に基づいた診査診断から導き出した治療計画こそが皆様の希望に応える最善の方法です。
お口の中を14箇所に細かく分けてレントゲンを撮影します。レントゲンでは目視や写真では確認できない歯の中の状態と骨の状態も調べることができます。
左上のレーダーチャートは、歯ぐきの検査をした結果、歯周病の進行度を総合的に評価したものです。最大のスコアが100で、数値が高いほど歯周病のリスクが高いことを表します。右上のグラフは、総合評価のスコアをグラフにしたもので検査のたびに追加されるので過去の結果と比較することができます。下半分の図は、典型的な歯周病の進行例のレーダーチャートと歯周病の治療後の予想を表したものです。しっかりと治療を受けることでレーダーチャートが小さくなり、歯周病の進行を止めることができることがわかります。
歯ぐきの検査結果を歯の番号ごとにイラストと数値で表したものです。
歯周病は、歯と歯を支える組織の間に起きる歯ぐきの病気です。細菌の塊が歯と歯ぐきの境目に進入することで、歯と歯ぐきを支えている組織や骨を破壊します。その結果、歯がグラグラ動いてきて最終的には歯が抜け落ちてしまいます。歯周病の程度は歯周ポケットの深さによって判断することができます。左の歯のイラストにある赤い線が歯ぐきのあるラインで、黒い線は骨のラインになります。この歯ぐきから骨までを歯周ポケットと呼び、歯ぐきの検査ではポケットの深さを測定します。一般的に数値としては、3㎜以下が正常の深さで4㎜以上あると歯周病になります。このイラストからは数値で歯周病を判断することができる他、歯ぐきや骨のラインも確認することができるのでどの歯がどの程度、歯周病が進行しているかわかりやすくなっています。左下のグラフはポケットの平均値と4㎜以上のポケットの割合を表したもので、過去のデータも記録されているので変化がわかりやすいです。
お口の中の咬む面の絵図です。歯ぐきの検査時に歯ぐきからの出血も確認し、出血があったところにはその歯の絵の周りに赤やピンクの丸がつきます。赤丸は前回の検査時から出血が継続されているところ、ピンク丸は今回出血が発生したところです。薄いピンク丸は前回は出血があったが今回はなくなっていたところです。ポケットの状態は注意が必要な4㎜以上のところに関しては黄色~緑の丸で表しています。左下のグラフは出血の状態をパーセントで表したものです。出血率の要注意値は20%程度なので20%のところに点線を入れてわかりやすくなっています。出血率も検査時ごとに入力されるので過去と比較することができます。出血がある箇所は歯ぐきに炎症があり、歯周病が進行中なので注意が必要です。この絵図からはどの歯が注意が必要かわかります。
お口の中の虫歯の状態を表したものです。虫歯があるところには虫歯の初期~末期の4段階のイラストを使用して表します。虫歯の程度が軽ければ軽いほど簡単に修復することができます。進行が著しい場合には歯を残せない場合もあります。
左のイラストは現在の残存歯数と歯周病の程度を表したものです。歯周病の程度は正常であれば青□、軽度は黄色□、重度は赤□で表します。右のイラストは日本人の年齢と残存歯数の関係の統計資料から今のまま放置された場合の将来のイメージを推測したものです。実際にこのようになるわけではありません。このイラストによって実際に歯を失った場合の事を想像されて、歯の大切さを実感していただくためにご用意しています。
下のグラフは、平成11年歯科疾患調査(厚生労働省)の結果に基づいて作成されています現在の状態を黒丸で表していて、それがこのグラフより上であれば平均より歯が残っていることになります。赤丸はメンテナンスをせずにそのまま放置された場合の10年後と20年後の残存歯数の予測になります。青丸はメンテナンスを続けられた場合の10年後と20年後の残存歯数の予測になります。お口の中の状態は個人差があり、必ずしもこのグラフの通りに進行するとは限りませんので、あくまで目安としてお考えください。ご自身の歯でより充実した人生を送るためにもメンテナンスを継続して受けていただくことをおすすめいたします。
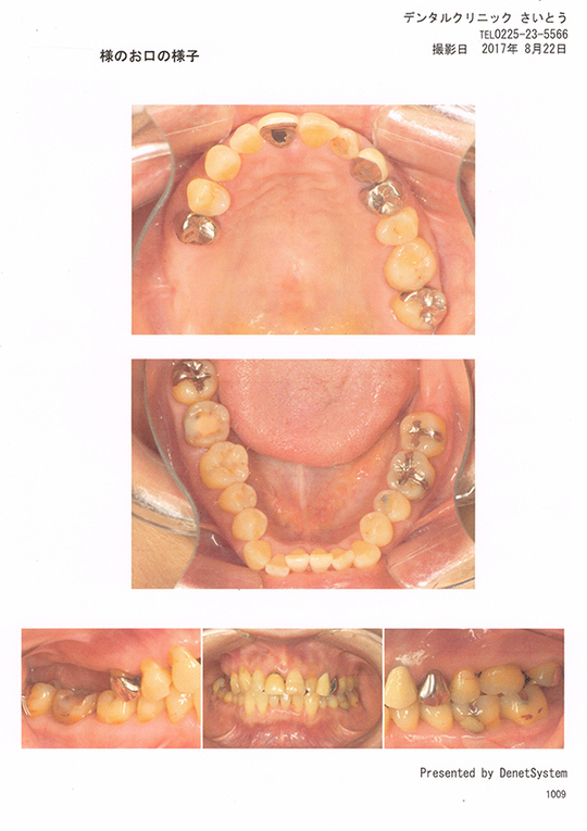
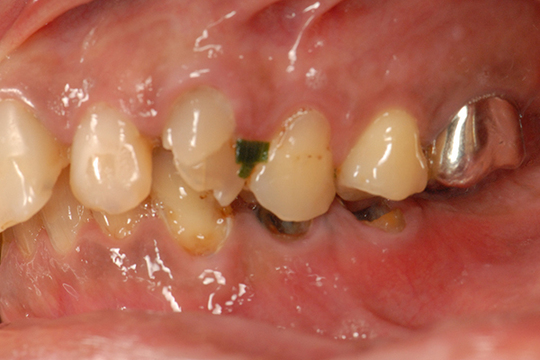
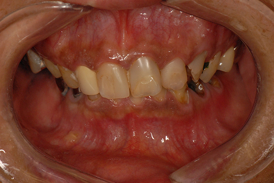
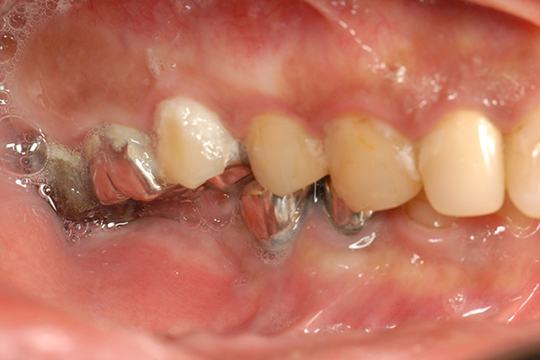
お口の中を5種類のアングルからカメラで撮影します。目視では確認できないところも確認することができます。また、お口の中を患者様ご自身で確認していただくこともできます。
超音波測定器によるデジタル顎運動測定器を使用することによって顎の動きを科学的に解析し、データをとることができます。
ディグマのデータを元に模型上で理想的な口腔内を再現します。