石巻市で最新設備を完備する歯医者さん

〒986-0825 宮城県石巻市穀町5-21
石巻駅徒歩3分【駐車場10台完備】

診療時間
9:00~13:00 × ×
14:00~18:00 × ×

休診日:木曜・日曜・祝日

当院の入れ歯治療

精密な型取りと分析を行い、最適な入れ歯を製作

入れ歯の役割とは、当然ながら健康な歯と同様に機能することです。つまり、歯の形をしただけのものではなく、しっかりと噛めて機能するものをお作りすることが歯科医院の責務だと考えます。当院は精密な型取りと分析を行い、あごの位置や咬み合わせから考えた入れ歯治療をご提供しています。

こだわりの型取り方法

入れ歯の製作にあたって、当院では「上下顎同時印象法(じょうげがくどうじいんしょうほう)」という特殊な技法を採用しています。これは上下の型取りと同時に咬み合わせの型取りも行う方法で、あごの動きの一連の流れや、あごのわずかなズレまでもを精密に分析できるのがメリットです。

さらに、お口の中の動きを立体的にとらえることも行っています。型取りの最中につばを飲み込むことにより飲み込むときの舌の動きまで考慮することができますので、お口によりフィットして噛み心地の良い入れ歯をお作りすることができます。

このように当院では、入れ歯製作の前に、まずは入れ歯の中心的役割である「咬み合わせ」の部分をしっかりと解決することに注力しています。きちんとした型取りや分析の上でお作りした入れ歯ならば、長期間快適に、そして健康的にご使用いただけます。

震災経験に学んだ、治療法のメリットを考慮したご提案

2011年3月11日の東日本大震災では、当院も被災しました。ライフラインが止まり、多くの皆さんのご不安が高まる中、お口の健康はどうしても二の次になってしまいました。「水がないから歯を磨けない」「磨いている場合ではない」そういった状況が少なくなかったと思います。

お口の衛生状態が悪くなった場合にダメージを受けやすいのは、インプラントです。震災時には、劣悪な環境の中でインプラントがだめになっていくケースが多く見られました。その点、入れ歯はもしだめになっても部分的に修理ができるケースが多いため、現実的な解決策として有効ではないかと思っています。もちろん震災のようなケースは珍しいものです。しかし、お年をとられ、ご自身でお口の管理ができるかどうかという点では同様に考えることができます。

これは決して、インプラントが良くないということではありません。お口の状態だけでなく患者さまの生活されている背景も元にして、入れ歯やインプラントそれぞれのメリットを考慮したご提案をすることが大切だと当院は考えカウンセリングや治療を実施しています。

自費の入れ歯なら、ご希望に添う一品がお求めいただけます

当院では、総入れ歯を人工の臓器だと考えています。総入れ歯は体の一部として健康に機能すべきものだからです。また、歯は他の臓器と違い、外から見えるものです。だからこそ、見た目にも美しい必要があるのです。

患者さまのご希望を最大限に活かした最適な入れ歯をご提供するため、当院では自費で作る特別な入れ歯治療も行っています。特殊な技法を用いる当院の入れ歯は、宮城県内でも取り扱っている歯科医院が少ないですから、ご興味のある方はぜひご相談ください。

ドイツ式入れ歯、テレスコープ義歯とは

通常の入れ歯は金属のバネ(留め具)で固定することがほとんどですが、テレスコープ義歯(入れ歯)は、はめ込みタイプであることが特徴の入れ歯です。

バネを使用しませんので口を開けても金属が見えず、見た目にも自然で入れ歯をしていることが他の方からわかりにくくなります。このテレスコープ義歯にはさまざまな種類があり、当院では残っている歯の状態に合わせ、患者さまにとって適切なものをご提案しています。

入れ歯は、歯を失った場合の選択肢のひとつです。その他にはインプラント治療も考えられます。当院ではそれぞれの治療について、メリットとデメリットを丁寧にご説明し、患者さまのご希望に合わせた治療をご提供いたします。

自費の入れ歯の種類

コーヌステレスコープ

残っている歯に金属の土台を被せる内冠と、その土台に適合する外冠を作成。この内冠と外冠の摩擦力によって安定する外れにくい入れ歯です。

治療のリスクや副作用:土台となるご自身の歯を削る必要があります(削る量は個人差があります)。内冠を入れている歯は虫歯のリスクが高まります。一度摩擦力が弱まると、修理が困難になる可能性があります。この設計は説明用の設計で後ろに歯がないケースで前二本土台のコーヌステレスコープは禁忌症になります。内冠、外冠で1本あたり別途で料金がかかります。(¥150,000)症例によっては上顎のみ大連結装置¥100,000(税別)が必要になります。
治療の価格:コーヌステレスコープ(片側)¥500,000/(両側)¥800,000(税別)

リーゲルテレスコープ

かんぬきのような構造で、入れ歯の着脱をします。バネのないよく噛める審美的な入れ歯です。

治療のリスクや副作用:土台となるご自身の歯を削る必要があります(削る量は個人差があります)。内冠を入れている歯は虫歯のリスクが高まります。一度摩擦力が弱まると、修理が困難になる可能性があります。内冠が繋がっているため1本の歯に問題があると治療が困難。定期的なメインテナンスを通われることをおすすめいたします。※内冠、外冠で1本あたり要別途料金(¥150,000)※リーゲルレバー要別途料金(1本¥100,000)症例によっては上顎のみ大連結装置¥100,000(税別)が必要になります。
治療の価格:リーゲルテレスコープ(片側)¥500,000/(両側)¥800,000(税別)

レジリエンツテレスコープ

残ってる歯が1~3本の時に用いられる入れ歯です。残ってる歯を利用することで、外れにくい快適な入れ歯を作ることができます。

治療のリスクや副作用:土台となるご自身の歯を削る必要があります(削る量は個人差があります)。内冠を入れている歯は虫歯のリスクが高まります。一度摩擦力が弱まると、修理が困難になる可能性があります。※内冠、外冠で1本あたり要別途料金(¥150,000)
治療の価格:レジリエンツテレスコープ¥800,000(税別)

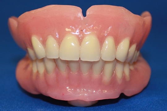
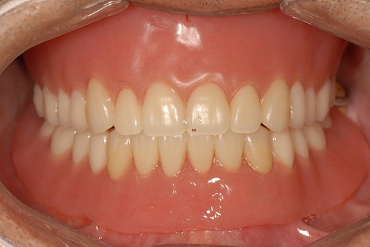
上下顎同時印象法を用いたドイツ式総入れ歯 

上下の歯と咬み合わせを同時に型取りし、それを元に作られた模型を咬合器という装置に入れて咬み合わせを再現するため、より正確で審美的な総入れ歯ができます。

治療のリスクや副作用:土台となるご自身の歯を削る必要があります(削る量は個人差があります)。内冠を入れている歯は虫歯のリスクが高まります。一度摩擦力が弱まると、修理が困難になる可能性があります。
治療の価格:上下顎同時印象法を用いたドイツ式総入れ歯 ¥1,000,000(税別)

チタン床入れ歯

「床」とは入れ歯の土台となり、歯ぐきに直接触れる部分のことです。チタンは「軽く」「強い」特長を持つ金属で、この素材で床を製作することにより、患者さまの身体へのご負担を減らすことが可能です。また錆や熱に対しても強いですから、熱い食事でも入れ歯を気にせず楽しむことができます。

治療のリスクや副作用:破損した場合、修理に時間がかかる可能性があります。金属の種類によってはアレルギーがでる可能性があります。加齢によるお口の中の変化により、定期的に調整が必要になる可能性があります。
治療の価格:¥500,000(税別)

コバルトクロム義歯

コバルトクロムは多くの入れ歯で使われる素材で、体によく馴染むのが特長です。硬さがあるため、薄く加工することが可能です。

治療のリスクや副作用:破損した場合、修理に時間がかかる可能性があります。金属の種類によってはアレルギーがでる可能性があります。加齢によるお口の中の変化により、定期的に調整が必要になる可能性があります。
治療の価格:¥350,000(税別)

入れ歯治療の流れ

現在使用中の入れ歯の調整

使用中の入れ歯がある場合は、調整します。

お口の中の検査

お口の中を検査します。

説明

お口がどんな状態なのかをご説明し、治療計画をご案内します。

治療

あごの形や頬の動きを確認し、入れ歯をつくるための「型取り」を行います。

歯科技工所での入れ歯作製

型取りしたデータをもとに、歯科技工所で入れ歯をつくります。

入れ歯の完成

完成した入れ歯をお渡しし、使い方やお手入れの方法をご案内します。

パソコン|モバイル
ページトップに戻る